Dental BondingVancouver, WA

Sometimes the smallest changes make the biggest difference in how you feel about your smile. A tiny chip, a rough edge, or a small gap can draw your attention every time you look in the mirror, even if no one else notices. Dental bonding is a conservative cosmetic option that can quickly improve the look of your teeth while keeping your natural tooth structure largely intact. At Advanced Dental Concepts, in Vancouver, WA, bonding is designed to look natural, feel smooth, and help you feel more confident when you smile, speak, and take photos.

Cosmetic Bonding For Minor Tooth Imperfections

Dental bonding uses a tooth-colored resin material that is carefully shaped and polished to improve the appearance of a tooth. It is often chosen for minor cosmetic concerns because it can be completed efficiently and typically requires little to no removal of tooth structure.

Bonding is a great option when you want a subtle enhancement rather than a dramatic change. It can help refine tooth shape, improve symmetry, and smooth out small imperfections while still keeping your smile looking like you. Because the material is custom-matched to your enamel, the result can blend naturally with surrounding teeth.

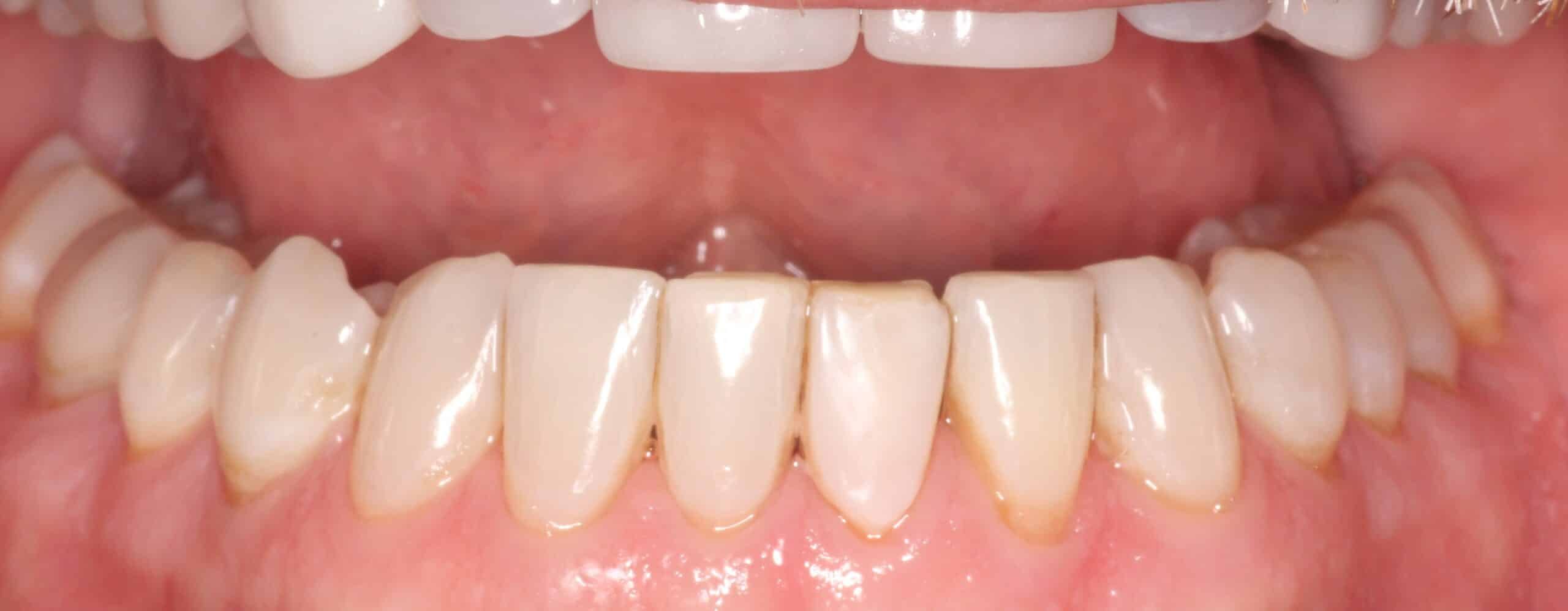
Before After
Whiter teeth with minimal prep using dental bonding with composite veneers.

Bonding may be used to improve:

  • Minor chips: Smoothed and rebuilt to restore a more even edge.
  • Small gaps: Closed to create a more balanced, cohesive smile line.
  • Uneven edges: Refined to improve symmetry and tooth proportions.
  • Surface irregularities: Corrected to reduce roughness or visible defects.

Repairing Chips, Gaps, & Uneven Edges

Chips and uneven edges can happen from everyday wear, biting something hard, or accidental trauma. Small gaps may be natural or develop over time as teeth shift. Bonding can address these concerns by adding and shaping resin in a way that restores a smoother, more uniform look.

The goal is to create a result that does not look bulky or artificial. We focus on natural contours, proper proportions, and a polished finish so the bonded area blends with your existing tooth structure. We also consider your bite, because if the bonded area is placed where heavy forces occur, it may wear more quickly. Bite awareness is part of planning, especially for patients who clench or grind.

Tooth-Colored Materials For Natural Results

The bonding material is selected and tinted to match the shade and character of your natural teeth. Once applied, it is shaped to look like a natural tooth surface and polished for a smooth finish. This attention to detail is what helps bonding look seamless, especially on front teeth.

Tooth-colored resin can also be used to create subtle cosmetic refinements that still preserve the natural translucency of enamel. While bonding resin is not identical to porcelain, it can still look very natural when carefully placed and finished. We also talk through realistic expectations, including how bonding may respond to staining over time and what habits can help maintain your results.

Dental Bonding Vs. Veneers & Fillings

Bonding is sometimes compared to veneers and fillings because all three involve tooth-colored materials, but they serve different purposes. Bonding is often best for minor cosmetic changes or small repairs. Veneers are thin porcelain restorations that cover the front surface of a tooth and are often used for more significant cosmetic changes in shape and color. Fillings are primarily restorative, used to treat cavities or repair structural damage caused by decay.

Choosing the right option depends on your goals, tooth condition, and long-term expectations. We help you compare options based on durability, appearance, cost considerations, and how much tooth structure is involved.

A simple comparison may include:

  • Bonding: Best for minor cosmetic improvements and conservative repairs.
  • Veneers: Ideal for more comprehensive aesthetic changes and long-term polish.
  • Fillings: Used to restore tooth structure after decay or functional damage.
  • Combination care: Considered when both cosmetic and restorative goals are involved.

The Bonding Procedure Explained

Bonding is typically completed in a single visit. The tooth surface is prepared so the material can bond properly, then resin is applied in layers and shaped carefully. Once the shape looks right, the material is hardened, refined, and polished to create a smooth, natural finish.

The process is designed to be comfortable. In many cases, little to no numbing is needed, especially when bonding is purely cosmetic and does not involve removing tooth structure. If the bonding is being used to repair a chip or address sensitivity, we may recommend numbing for comfort.

A typical bonding appointment includes:

  • Shade selection: Chosen to match your natural enamel and blend seamlessly.
  • Surface preparation: Completed to help the resin adhere securely.
  • Resin shaping: Sculpted to match natural contours and improve tooth appearance.
  • Finishing and polishing: Refined to create a smooth surface and natural shine.

Longevity & Care After Bonding

Bonding can last for several years, but longevity depends on habits, bite forces, and the location of the bonded area. Bonding material can chip or wear if it is exposed to heavy pressure, such as nail-biting, chewing ice, or clenching and grinding.

We provide guidance on how to protect your bonding and keep it looking its best. Because resin can stain over time, minimizing frequent staining foods and drinks can help preserve the look of your results. Routine cleanings and exams also allow us to monitor the bonded area and make small refinements when needed.

Ways to protect bonding include:

  • Avoiding hard habits: Reduced by not biting ice, pens, or fingernails.
  • Maintaining home care: Supported by brushing and interdental cleaning daily.
  • Limiting staining exposure: Helped by mindful habits around dark beverages.
  • Monitoring bite forces: Addressed if clenching or grinding may stress bonded areas.

Ideal Candidates For Dental Bonding

Bonding is an excellent option for patients who want conservative cosmetic improvements and have generally healthy teeth and gums. It is often recommended when imperfections are minor and tooth structure is strong. If larger cosmetic changes are needed or if the tooth has significant structural damage, veneers or crowns may be a better solution.

Bonding may be a great fit if you want a fast, natural-looking improvement without extensive treatment. If you are considering dental bonding in Vancouver, WA, we can evaluate your smile, discuss your goals, and help you decide whether bonding is the best next step.

Choose Advanced Dental Concepts For Natural-Looking Smile Enhancements

Cosmetic dentistry should feel personalized, conservative, and focused on results that look like you. At Advanced Dental Concepts, dental bonding is a versatile option that can repair small imperfections and enhance your smile with a natural finish. If you want to smooth a chip, close a small gap, or improve tooth symmetry, call us to schedule a visit and learn whether bonding is the right choice for your goals.

Scroll to Top

Book Appointment